Will County confirms case of measles
A case of measles was confirmed in Will County, the second suburban area to report a positive test over the weekend.
Lake County resident tests positive for measles, health department says
The Lake County Health Department reported its first case of measles on Saturday.
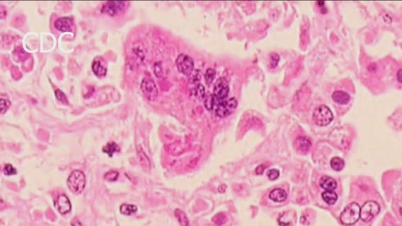
Measles outbreak in Chicago: Two new cases reported, total reaches 17
Two new cases of measles were reported in Chicago on Friday, bringing the total to 17 cases.
More migrants arrive in Chicago amid shelter evictions, measles outbreak
Suitcases and personal belongings were set outside as migrants checked in Wednesday at the city’s Landing Zone.
Measles in Chicago: 2 new cases reported, totaling 15
More cases of measles are arising in Chicago as health officials continue their efforts to contain the spread.
Confusion looming over Chicago migrant shelter evictions
The first round of Chicago migrant shelter evictions began on Sunday, but there has been some confusion over who has to go.
Week in Review: Illinois Eclipse 2024 • Chicago Bears invest in new stadium • Dolton mayor gets sued
These are the top stories on Fox 32's Week in Review.
Chicago's migrant shelters prepare for evictions amid measles outbreak
Despite the ongoing measles outbreak, some of Chicago's migrant shelters are set to begin evictions this weekend after Mayor Brandon Johnson imposed a 60-day limit for those staying at the facilities.
Chicago migrant shelter evictions to begin despite measles outbreak
The measles outbreak in Chicago is not stopping Mayor Brandon Johnson's 60-day limit for migrants staying at shelters.


















