New UIC program inspires Chicago students to tackle public health challenges
Chicago teens are learning how to make communities healthier through a new summer public health program at UIC.
Research suggests link between diet and depression risk in women
A study suggests that eating a lot of processed foods and added sugars may raise the risk of depression in women aged 40 to 50 before menopause.
Chick-fil-A might not be as healthy as you think, says new ranking | ChicagoNOW
Chick-fil-A is one of the most popular fast food chains in America, known for its friendly service, waffle fries, and signature chicken sandwiches. But a new ranking from WorldAtlas puts it on the list of the least healthy fast food spots in the country. Registered dietitian Maggie Michalczyk discusses what's worth ordering and what to skip if you're trying to make smarter choices.
1 person dies of the plague in northern Arizona
One person is dead, according to officials with Northern Arizona Healthcare, on the same day they showed up at Flagstaff Medical Center with symptoms of the plague.
This kind of coffee could dramatically increase your risk of going blind, study finds
Researchers in a new study learned that consuming this specific type of coffee may substantially increase a person’s risk of a common eye disease that can result in blindness.
ER visits for tick bites are at their highest level in years: Here's where
Summer is always a more visible time for tick bites because humans are outside more, but experts caution that “every season is tick season." Here's how safe your state is.
Tampa General Hospital, USF developing artificial intelligence to monitor NICU baby's pain in real-time
Researchers are looking to use artificial intelligence to detect when a baby is in pain.
Flesh-eating screwworm fly prompts livestock import ban at US-Mexico border
The U.S. has shut its southern border to livestock imports again after a flesh-eating parasite was found further north in Mexico than previously reported, raising alarm among American agriculture officials.
These states are spending the most on health insurance, study shows
Health insurance costs vary wildly by state. See where your state ranks in this new study.
Family Guy's Bobby Kesselman leads heartfelt mission in Chicago | ChicagoNOW
You've heard his voice on Family Guy, now he's using it to help kids in hospitals. Voice actor Bobby Kesselman leads the Hope Always Foundation, uplifting young patients through custom Warrior tablets. He discusses his journey from Hollywood studios to hospital rooms and the inspiration behind it all.
How the Loretto Hospital vaccine controversy turned into a $200-million federal fraud case | ChicagoNOW
The Loretto Hospital scandal started back in 2021 when hospital executives were caught administering COVID vaccines meant for vulnerable populations to people who weren’t eligible — including employees at Trump Tower Chicago. ChicagoNOW is a fast-paced, conversational show that spotlights what’s trending in and around Chicago.
California woman gets married after lifesaving surgery to remove 40-pound tumor
Ariana Pulido, 22, was diagnosed with a rare and aggressive condition called growing teratoma syndrome after multiple tumor recurrences.
M&M's, Skittles maker pushes back on RFK Jr's MAHA initiative to ban synthetic food dyes
MARS, the maker of M&M's and Skittles, yet to join voluntary pledge to end use of synthetic food dyes.
Measles cases reach highest level since disease was 'eliminated' in US
There are also large outbreaks of the vaccine-preventable disease in Mexico and Canada.
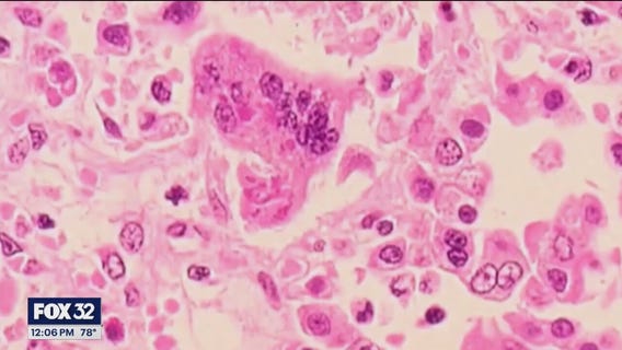
Researchers discover possible trigger for Parkinson’s disease
Researchers believe the HPgV virus could be an environmental trigger or contributor to Parkinson's disease.
'Molly' and mental health: How the drug is making waves in the medical world
Pop star Lorde said in a recent interview with Stephen Colbert that the psychedelic drug MDMA, also known as molly or ecstasy, has been "a game-changer" for her mental health. Dr. Joshua Eloge, with Rush Medical Group, joined "ChicagoNOW" to explain how the drug works.



















